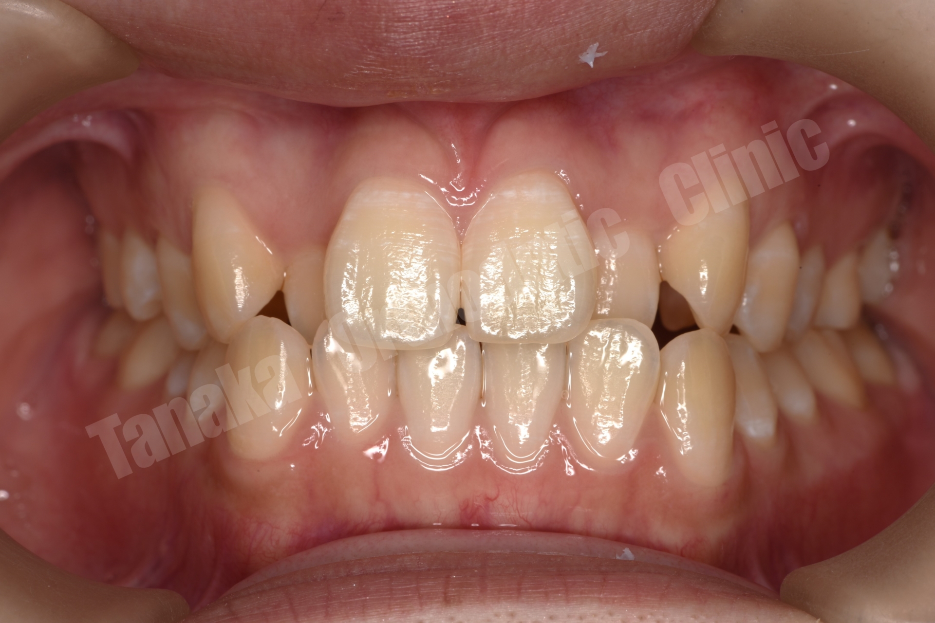
症例紹介 ■ 主訴 口元の突出感および叢生の改善を希望され来…
TANAKA
ORTHODONTIC
CLINIC
ORTHODONTIC
CLINIC
確かな技術であなたに合った治療を。
歯列矯正を専門として矯正歯科医療に
携わり約20年以上の経験をもとに
歯並びでお困りのあなたのために、
できる限り患者様一人ひとりに合った治療を行います。
お電話はこちらから 086-223-6922
Reliable
technology
technology
ABOUT
岡山駅から徒歩3分の矯正歯科。
確かな技術を持った歯科医師が、
歯並びのお悩みに対応いたします。
確かな技術を持った歯科医師が、
歯並びのお悩みに対応いたします。
当院には、矯正を専門とする歯科医師が在籍しています。20年以上の実績と高度な口腔外科技術、そして刷新し続けている設備で、患者様一人ひとりに合った治療を行うことが可能です。
患者様とコミュニケーションをとりながら、ご納得いただける治療プランを提供いたします。まずはカウンセリングにお越しください。
このような歯並びでお悩みなら、
田中矯正歯科にご相談下さい
田中矯正歯科にご相談下さい
八重歯が気になる
歯がガタガタ・でこぼこ
出っ歯(口ゴボ)を治したい
上の前歯が前に出ている
受け口で口元が
気になる
下のあごが前に出ている
ガミースマイルで歯ぐきが気になる
笑うと歯ぐきが大きく
見える
開咬で前歯が
噛んでいない
上下の歯の間のすき間が
気になる
過蓋咬合が気になる
上の歯が下の歯を
覆っている
すきっ歯が気になる
歯と歯の間に隙間がある
田中矯正歯科の
矯正治療について
About Treatment
矯正治療について
01
刷新し続ける設備と正確な治療方針
セファロやCTなど矯正治療の診断に必要な
設備を完備し、
3Dプリンターや口腔内スキャナー、
デジタルソフトなどの
設備を整え診査・診断を
早く正確に行うことができるようになりました。
02
患者様との対話
歯並びや口元に関するお一人お一人の
お悩み・ご要望をしっかりとヒアリングいたします。
安心して治療を進めていけるよう、
細やかなコミュニケーションを心がけています。
03
安心してもらえる経験・技術
当院は、矯正専門の歯科医院です。
矯正を専門とする歯科医師の豊富な知識と
経験を活かした専門性の高い診療を行っています。
04
トラブル時にも対応可能
矯正治療中にワイヤーが食い込んだり
矯正装置が取れたりと
トラブルが起こることもあります。矯正を専門とする歯科医師が在籍しており、
診療中であればすぐに対応させていただきます。
充実の矯正医療設備
Facility
デジタル
レントゲン
デジタル
スキャナー
3Dプリンター
顎運動記録装置
CT
デジタルソフト
Medical information
診療案内
ACCESS
アクセス
ACCESS
アクセス
〒700-0901
岡山県岡山市北区本町6-36 第1セントラル6F
電話番号 : 086-223-6922
岡山県岡山市北区本町6-36 第1セントラル6F
電話番号 : 086-223-6922
- JR岡山駅東出口から徒歩すぐです。(高島屋南隣ビル)
- お車でお越しの方は服部パーキングに駐車の場合、1時間分まで補助します。





